

Kerala health department has released an advisory regarding the diagnosis of tuberculosis in the context of COVID-19. The government of India had released guidelines which the state has customised based on local epidemiology of TB and COVID-19.
Both the diseases may present similar symptoms as cough, fever and difficulty in breathing. TB however has a longer incubation period and slower disease onset. "Studies have shown that the history of active or latent TB is an important risk factor for COVID-19. Vulnerability to develop TB and fatal COVID-19 are also the same -- elderly, malnutrition, tobacco use, chronic respiratory illness, diabetes and immunocompromised conditions," says the advisory.
At present all influenza like illness (ILI) cases are tested for COVID-19. If these persons have any of the above-mentioned vulnerabilities or contact with TB patients, they shall also be tested for TB.
All COVID-19 negative cases with ILI or severe acute respiratory infections (SARI) are to be followed up by the health centres where the patient is residing (primary/family/community health centres or Taluk Head Quarters hospitals). If the symptoms persist for more than 14 days, TB tests are to be offered, irrespective of the vulnerability or contact status of the patient.
The patient shall not be referred to another centre for the tests but samples shall be collected at the centres and taken to the nearest lab.
The samples collected from confirmed cases of COVID-19 shall be handled in a lab with Biosafety Level 2. All precautions advised by the Union Ministry as well the State TB Cell will be taken while performing TB tests.
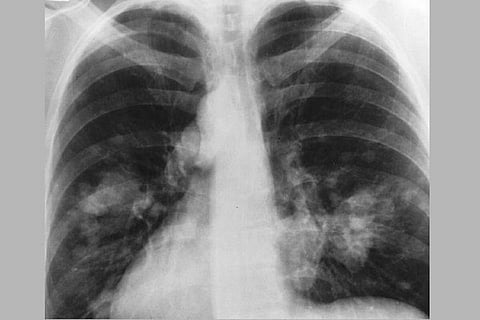
All COVID-19 patients shall be screened for TB depending on these factors: if they have fever or cough for more than two weeks, weight loss and night sweats. Any patient with one of these symptoms shall be tested. A COVID-19 patient with abnormality in chest X-ray shall also be tested for TB.
On the other hand, a diagnosed or cured TB patient developing symptoms of COVID-19 shall be tested for the latter as per the guidelines issued by the state government.
Watch: Similarities between COVID-19 and TB explained by microbiologist on NDTV