

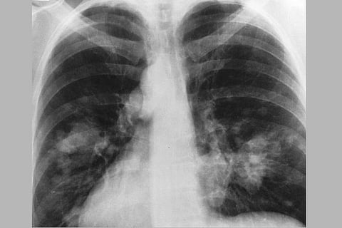
Visits to Bengaluru’s Rajiv Gandhi Institute of Chest Diseases have become a frequent part of 60-year-old Krishnappa’s* routine. The Mysuru native had been diagnosed with pulmonary tuberculosis not once but twice in the past decade, with Krishnappa contracting a particularly aggressive and drug-resistant form of the disease the second time around.
“He was being treated for a strain of tuberculosis which was not responsive to the primary choice of drugs usually given to treat the disease. In the past five to ten years or so, we are seeing a drastic rise in the number of resistant cases of TB,” states Dr Nagaraj, director of the institute.
According to the National Tuberculosis Elimination Programme (NTEP), Karnataka diagnoses around 2000 cases of drug-resistant forms of tuberculosis each year. A combination of first-line drugs such as rifampicin and isoniazid are initially preferred to treat a resistant case of tuberculosis.However, when an individual presents with multi-drug resistant tuberculosis (MDR TB), ‘last resort’ drugs such as bedaquiline or delamanid are preferred. Access to either of the two drugs remains limited, with less than 400 people in the last year having been started on either one.
With India targeting the complete eradication of tuberculosis by the year 2025, where does Karnataka stand with regards to tackling drug-resistant cases?
“If you look at the presence of MDR TB throughout the country, you will see maybe 3% of new cases being resistant forms. However, there are about 10% of cases which are comprised of individuals who have already been diagnosed and treated previously for TB (like Krishnappa),” states one official from the state health department.
As per NTEP, there are evaluation and admission facilities called Drug Resistant TB (DRTB) Centres available across the state and several districts particularly for individuals with resistant forms of tuberculosis. However, with only 20 such DRTB centres, experts say that lack of access or “conditional access” to newer drugs such as bedaquiline and delamanid, remains a large problem. According to recent data from the NTEP, 290 patients have been started on bedaquiline and another 48 on delamanid in the state, though the total number of individuals with MDR TB amounts to around 2000.
“We will work to expand the number of the DR TB centers to cover each district and ensure that all necessary facilities to treat these cases are made available,” said Union Joint Secretary Vikash Sheel, in charge of the National Tuberculosis Elimination Program (NTEP).
At present state health officials do three rounds of case finding, wherein health teams are sent to the field to screen through populations and find how many active cases of TB there are. These screenings are done in January, July and December over a period of two weeks. All the districts in the state are covered during this time.
“The importance of this active case finding is that it ensures that people living in even the most remote areas are traced and screened. The state enlists the help of medical colleges to conduct these NTEP activities,” said Vikash Sheel.
In addition, officials plan to introduce more campaigns and measures to tackle the issue.
“We are emphasising prevention of resistant TB. Several of these resistant cases are known to be individuals who have been non-compliant in following treatment when they initially developed the disease which might be strongly linked to the development of resistance now. By ensuring that people understand the harm of not taking their medications, we hope to send the message across better,” adds the Joint Secretary.
Prime Minister Narendra Modi announced in March 2018 that India would eliminate tuberculosis by the year 2025, five years before the Sustainable Development Goals target deadline for eradication of the disease.
Tuberculosis is an infectious disease which is caused by the bacterium Mycobacterium tuberculosis. It is transmitted via air droplets from an infected individual to others. The initial symptoms of tuberculosis are fever, cough, cold, loss of weight and appetite, chest pain, as well as chills.
*Name changed